Invisalign, ortodonția secolului!
Ce este Invisalign?
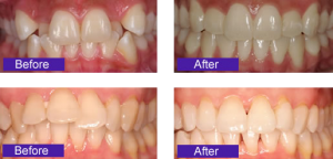
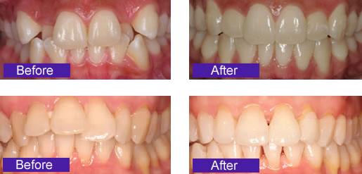
Invisalign este cel mai modern concept de tratament ortodontic din lume, singurul sistem care oferă un plan de tratament virtual, generat de programul unic ClinCheck.
Aparatul ortodontic Invisalign este realizat și patentat în SUA de către Align Technology. Face parte din categoria aparatelor ortodontice de ultimă generație, este foarte apreciat atât de medici cât și de pacienți.
Peste 50,000 de medici din întreaga lume au fost certificați Invisalign, iar până în prezent au fost finalizate cu succes 2,5 milioane de tratamente.
Se va potrivi in viata mea ?
Tratamentul Invisalign se poate introduce simplu şi cu uşurinţă în rutina de zi cu zi, fără niciun tam-tam sau jenă. Nu există fire sau brackets de metal, deci nu este nevoie să vă faceţi griji cu privire la iritaţii bucale. Deoarece alignerele sunt confortabile la purtat şi pot fi îndepărtate uşor pentru a manca, bea, pentru periaj şi folosirea aţei dentare.Datorită modului remarcabil al Invisalign de a transforma zâmbetul, abia se observă că faceţi un tratament. Deoarece alignerele Invisalign sunt transparente şi greu de observat atunci când le purtaţi, vă permit îndreptarea dinţilor fără a vă simţi conştienţi – şi dacă aveţi o întâlnire importantă sau un eveniment care vă preocupă, aveţi posibilitatea îndepărtării alignerului pentru o perioadă scurtă de timp.
Cat costa Invisalign ?
E adevărat. Indiferent de ceea ce aţi crezut în trecut, un zâmbet încrezător, radiant se află la îndemâna dumneavoastră. Şi dacă staţi să vă gândiţi, îmbunătăţirea zâmbetului dvs. este o investiţie importantă, pentru că o faceţi pentru dvs.
Noi înţelegem că preţul este un element important. Din păcate, nu există niciun răspuns definitiv la această întrebare până când nu vizitaţi un medic certificat Invisalign pentru consultaţia iniţială.
Ca şi în alte tipuri de tratament ortodontic, costul tratamentului cu Invisalign depinde de complexitatea cazului şi de cursul tratamentului – dar costul este, în general, comparabil cu aparatele tradiţionale. Taxele de tratament sunt stabilite de către medicul dentist sau ortodont şi costul mediu variază între € 2000 şi € 4000.



